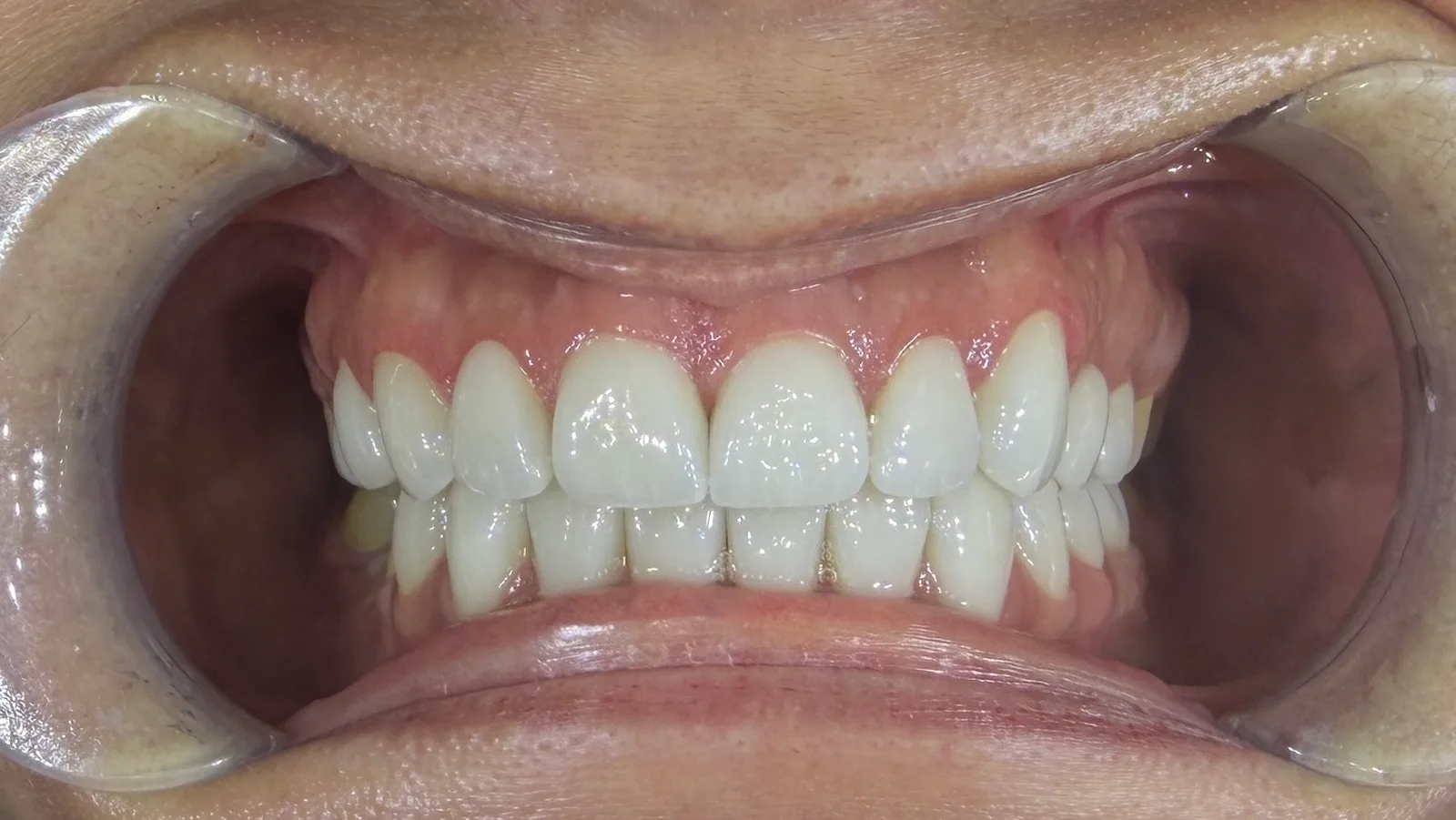
Fațete ceramice Emax
rezultate naturale, durabile
Schimbă forma, culoarea și dimensiunea dinților cu fațete ceramice care arată natural și rezistă în ani.
Ce spun pacienții noștri
Experiențele lor în propriile cuvinte.
„Nu am avut dinții așa de frumoși... niciodată."
Mircea C.
„Nu mai știam să zâmbesc."
Florentina S.
„Foarte multă lume mi-a spus că sunt foarte naturali."
Raisa I.
„Sincer... nu am simțit nimic."
Andrei Z.
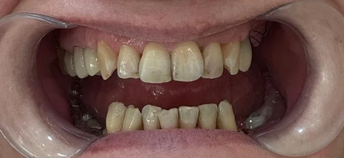
Transformări reale, pacienți reali
Glisează pe imagini pentru a vedea diferența.


Reabilitare totală prin 24 fațete ceramice Emax


Reabilitare maxilar prin 12 coroane de zirconiu


Reabilitare totală prin 24 coroane de zirconiu


Reabilitare totală implanturi și coroane de zirconiu


Reabilitare totală prin 24 coroane de zirconiu


Dantură fixă pe 6 implanturi la maxilar
Vrei un zâmbet ca în poze?
Lasă-ne numărul tău - te sunăm noi
Ești în locul potrivit dacă...
Fațetele ceramice Emax sunt o soluție precisă - nu pentru toată lumea, dar cu siguranță pentru tine dacă:
Dinții tăi sunt îngălbeniți sau nu răspund la albire
Ai dinți scurtați, ciobiți sau cu spații inegale
Îți ascunzi zâmbetul în poze sau în conversații
Vrei un rezultat natural, nu „fals" sau prea alb
Ai mai amânat pentru că nu știi de unde să începi
Vrei să știi exact cum vei arăta înainte de orice decizie
Fațete ceramice sau coroane?
O întrebare pe care o primim des. Ambele sunt soluții excelente — dar nu pentru aceleași situații. Iată diferența, pe înțelesul tuturor.
Fațeta ceramică
Acoperă doar fața frontală a dintelui — ca un strat subțire aplicat peste. Se recomandă când dintele este sănătos structural, dar are probleme estetice: culoare, formă, dimensiune sau mici spații între dinți.
- Preparare minimă sau zero (No-Prep)
- Structura dintelui rămâne intactă
- Rezultat extrem de natural
- Ideal pentru dinți sănătoși structural
Coroana dentară
Înconjură complet dintele, ca un capișon. Se recomandă când dintele este slăbit, a suferit un tratament de canal, are carii mari sau fisuri. Protecție totală, nu doar estetică.
- Protejează un dinte compromis structural
- Acoperire 360° — rezistență maximă
- Potrivită după tratamente de canal
- Ideal pentru dinți cu deteriorare semnificativă
Nu există o alegere greșită — există alegerea potrivită pentru tine. La consultație, medicul evaluează fiecare dinte în parte și îți explică exact ce se potrivește situației tale, fără jargon și fără presiune.
De ce pacienții aleg Denteca
Simulare digitală înainte de orice decizie
Cu tehnologia Digital Smile Design, îți arătăm pe monitor cum vor arăta dinții finali pe fața ta — înainte să ne atingem de dinți. Pornind de la fotografia ta, medicul proiectează forma, culoarea și dimensiunea fiecărei fațete, adaptate proporțiilor faciale. Zero surprize, zero angajamente înainte să fii sigur.
Tehnici Min-Prep și No-Prep
Acolo unde anatomia permite, fațetele Emax se aplică cu o șlefuire minimă de 0.2–0.5 mm (Min-Prep) sau fără nicio intervenție pe dinte (No-Prep). Spre deosebire de coroanele clasice, fațetele conservă structura naturală a dintelui. Rezultat spectacular — și reversibil dacă situația o cere.
Ceramică Emax Ivoclar - standard mondial
Ceramica Emax Ivoclar este materialul de referință în stomatologia estetică mondială. Combinația dintre transluciditatea care mimează smalțul natural și rezistența mecanică ridicată o face ideală pentru fațete subțiri care arată natural și rezistă în timp. Nuanța rămâne stabilă zeci de ani — fără îngălbenire.
Aprobi zâmbetul înainte de cimentare
Mock-up-ul — proba pe dinți temporari — este un pas obligatoriu în protocolul Denteca, nu un opțional. Timp de câteva zile porți „noul zâmbet" în varianta provizorie: îl testezi în lumina naturală, în fotografii, în conversații. Dacă ceva nu îți convine, ajustăm înainte de cimentarea definitivă.
3 pași până la noul tău zâmbet
Un proces clar, fără surprize. Știi dinainte fiecare etapă.
Consultație + Simulare digitală
Examinare clinică, scanare 3D și simulare Digital Smile Design pe monitorul din cabinet. Pleci cu o imagine clară a cum vei arăta și cu un plan de tratament scris, cu etape și costuri clare. Fără angajamente, fără presiune.
Mock-up și preparare
Porți câteva zile fațetele temporare și ne spui dacă îți place design-ul ales. Dacă ești mulțumit, trecem la prepararea minimă a dinților și amprentarea pentru laborator. Totul se face sub anestezie locală.
Aplicare fațete definitive
Laboratorul produce fațetele Emax personalizate în 10–14 zile lucrătoare. La vizita finală ajustăm ocluzia, cimentăm definitiv și îți arătăm cum să îngrijești lucrarea. Pleci acasă cu noul zâmbet — și cu zâmbetul pe buze.
Vine prima consultație? Iată ce te așteaptă
Fără surprize. Știi exact ce se întâmplă la fiecare pas.
Nu trebuie să vii cu o decizie luată
Consultația este tocmai momentul în care afli dacă fațetele sunt potrivite pentru tine. Nu există niciun angajament — vii, afli, decizi în liniște.
Durează aproximativ 45 de minute
Examinare clinică, scanare 3D și o primă simulare digitală a zâmbetului dorit — toate la prima vizită. Pleci cu o imagine clară și un plan scris.
Primești un plan de tratament scris
Etape, costuri, durată estimată — totul detaliat pe hârtie, indiferent dacă alegi sau nu să continui. Transparență completă, fără presiune.
Poți aduce poze sau exemple de inspirație
Dacă ai văzut un zâmbet care îți place — dintr-o revistă, de pe Instagram, de oriunde — adu-l. Cu cât înțelegem mai bine ce îți dorești, cu atât rezultatul va fi mai aproape de așteptările tale.
Prețuri transparente
Fără costuri ascunse. Prețul final include tot ce este necesar pentru zâmbetul tău.
24 Coroane Zirconiu
Rezistență și durabilitate superioară.
- Consult primar & Plan tratament
- Material: Zirconiu
- Rezistență mecanică ridicată
- Digital Smile Design inclus
20 Coroane/Fațete Emax
Estetică superioară prin stratificare.
- Analiză Digitală DSD inclusă
- Material: Ceramică Emax Stratificat
- Mock-up (Probă estetică)
- Digital Smile Design inclus
24 Coroane/Fațete Emax
Estetică supremă. Arcadă completă extinsă.
- Analiză Digitală DSD inclusă
- Material: Ceramică Emax Stratificat
- Mock-up (Probă estetică)
- Textură și transluciditate naturală
- Digital Smile Design inclus
Notă: Prețurile includ ceramica, manopera și toate etapele de laborator. La prima consultație primești simularea digitală completă.
Dr. Andreea Popescu - medic specialist protetică dentară
Specializată în cazuri complexe de tip Hollywood Smile și reabilitări estetice complete. Cursuri de perfecționare la Belograd Academy - unul dintre cele mai apreciate centre de formare în estetica dentară mondială. Fiecare tratament este planificat individual, cu accent pe conservarea structurii dentare naturale.
Întrebări frecvente
Prioritatea noastră este conservarea țesutului natural. Grație ceramicii Emax moderne și adezivilor de ultimă generație, în multe cazuri aplicăm tehnica Min-Prep (șlefuire de 0.2–0.5 mm) sau chiar No-Prep (fără șlefuire), oriunde anatomia permite. Spre deosebire de coroanele clasice care necesită reducerea întregului dinte, fațetele ceramice acoperă doar suprafața frontală — ceea ce înseamnă că structura originală rămâne în mare parte intactă. Decizia finală o ia medicul după examinarea clinică și analiza scanării 3D, ținând cont de grosimea smalțului și de poziția dinților.
De la prima consultație până la zâmbetul final, procesul se desfășoară în 2–3 vizite. La prima întâlnire realizăm schița digitală și, dacă este cazul, mock-up-ul. După ce aprobi rezultatul temporar, trecem la amprentarea definitivă sau scanarea 3D. Laboratorul nostru partener produce fațetele Emax personalizate în 10–14 zile lucrătoare. La vizita finală, cimentăm lucrările și pleci acasă cu noul zâmbet. Nu sunt necesare zile libere de la serviciu — anestezicul trece în câteva ore.
Cu o igienă orală corectă și profilaxii periodice la cabinet, durata medie de viață a fațetelor ceramice Emax este de 10–15 ani — unele lucrări depășind chiar 20 de ani. Ceramica Emax Ivoclar este recunoscută la nivel mondial pentru rezistența sa mecanică ridicată și stabilitatea culorii în timp. Durabilitatea depinde și de obiceiurile pacientului: evitarea scrâșnirii (bruxism), a mușcării obiectelor dure și respectarea indicațiilor medicale. Dacă există bruxism, medicul poate recomanda o gutieră de protecție nocturnă.
Înțelegem că teama de durere este un motiv frecvent pentru care pacienții amână vizita la stomatolog. Tocmai de aceea, orice etapă invazivă a tratamentului se realizează sub anestezie locală modernă — aplicată confortabil, cu ace subțiri și tehnici blânde. Dacă optezi pentru tehnica No-Prep, nu este necesară nici măcar anestezia. După preparare pot apărea 1–2 zile de sensibilitate ușoară la rece sau cald, care cedează la analgezice uzuale. Marea majoritate a pacienților noștri descriu procedura ca pe o experiență surprinzător de confortabilă.
Alegerea nuanței este un proces colaborativ — nu îți impunem nimic. Pornim de la preferințele tale, luând în considerare tenul, culoarea ochilor și personalitatea. Avem la dispoziție scala Vita pentru nuanțe naturale sau opțiuni mai luminoase, până la Hollywood White. Cel mai important: realizăm un mock-up (probă pe dinți temporari) înainte de cimentarea definitivă. Poți vedea și simți rezultatul pe propriii tăi dinți, în condiții reale de lumină, înainte să iei decizia finală. Dacă nu ești 100% mulțumit, ajustăm.
Nu este necesar să ai dinți perfecți — dar orice problemă activă (carii, gingivite, parodontită) trebuie rezolvată înainte de etapa estetică. Asta nu e o condiție birocratică, ci o garanție că investiția ta va rezista în timp. La consultație, medicul evaluează complet starea dentară actuală și îți prezintă un plan în etape, cu ordine logică și costuri transparente. Mulți pacienți trec mai întâi printr-un tratament de igienizare și abia apoi la fațete — și sunt bucuroși că au procedat astfel.
Protocolul nostru este conceput tocmai pentru a preveni această situație. Înainte de orice decizie definitivă, parcurgi două etape de validare: simularea digitală pe monitor și mock-up-ul fizic pe dinți temporari, pe care îl poți testa câteva zile în viața reală. Abia după ce aprobi explicit lucrarea temporară trecem la cimentarea definitivă. Dacă ceva nu îți convine — culoarea, forma, dimensiunea — ajustăm. Niciun pas ireversibil fără acordul tău.
Pachetul de analiză inițială include consultația clinică, scanarea 3D a arcadelor și prima simulare digitală a zâmbetului — totul pentru 200 RON, plătibili la prima vizită. Este prețul pentru 45 de minute de evaluare completă și un plan de tratament personalizat, scris, pe care îl primești indiferent dacă alegi sau nu să continui. Dacă decizi să mergi mai departe cu tratamentul, cei 200 RON se scad integral din prețul final.
Programează-te acum
Primul pas este un consult de evaluare - scanare 3D, plan de tratament scris și simulare digitală a zâmbetului tău. Pleci cu răspunsuri clare.
- Durată vizită: aprox. 45 min
- Primești planul de tratament scris
- Simulare digitală inclusă